「靈魂之窗」眼睛一旦不正常長出一層膜,視力變模糊,影像變形或扭曲,很可能是黃斑部皺褶的症狀。北市聯合醫院仁愛院區醫師陳少鈞表示,眼部皺褶生成緩慢,常被患者與醫生忽略,但皺褶過厚或纖維化結疤,就要緊急手術,若延誤治療,導致視網膜剝離,更可能失明。
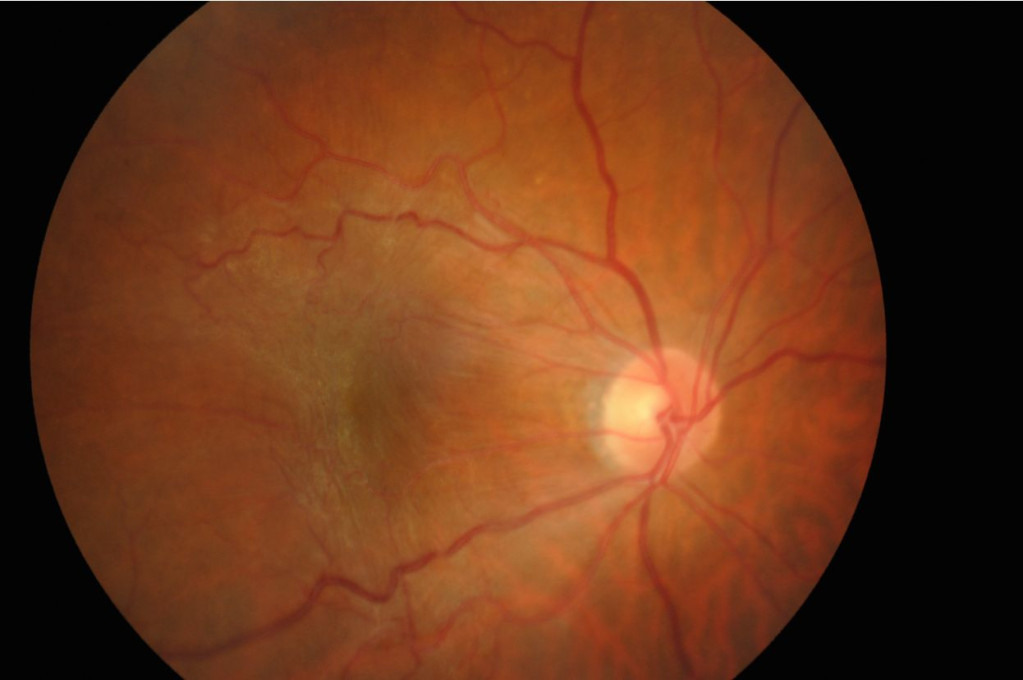
醫師指出,眼睛的視網膜就像是影像的訊號處理站,透過視網膜作用,才能完整呈現視覺品質。黃斑部的感光細胞密度及數量是整個視網膜最大區域,因此,黃斑部是影響視覺品質的重要構造。
陳少鈞表示,黃斑部皺褶(視網膜上增生膜)指的就是在眼睛的黃斑部位置有不正常增生膜。這種增生膜主要是產生在視網膜和玻璃體的交界區域。
陳少鈞說,黃斑部皺褶是一種纖維細胞,可能是自然生成,或因眼睛發炎、出血、手術後造成,對眼睛有「長久性」影響,除視力會漸漸退化,最明顯的症狀就是「影像扭曲」,看直線的物體會誤以為曲線,但皺褶生成緩慢,常被患者與醫生忽略。
陳少鈞指出,黃斑部皺褶目前診斷方式主要透過視網膜檢查,以及光學儀器診療,一旦視覺受到嚴重影響,就要立刻手術,切除玻璃體上的皺褶,但術後仍有再發可能,需持續追蹤;醫師提醒,民眾若耽誤手術時機,皺褶可能惡化成裂孔,導致視網膜剝離,可能失明。


